
Not everyone knows what osteoarthritis is, because of this, people are confused in treatment methods and do not understand the principles of pathology diagnosis.Arthrosis is a severe distribution rape that causes the injury of cartilage tissues in the intra -articular cavity.The complexity of therapy is associated with the irreversibility of processes, a complete cure cannot be achieved within the framework of modern medicine, but the severity of the symptoms can be reduced and the progression of the pathology can decrease.With proper treatment, a person continues the usual lifestyle for a long time.
What is osteoarthritis?
In the same way, it is simpler than for the disease osteoarthritis is an articulation disease that causes the restriction of the amplitude of movement and pain.In the first stage of damage, there are no manifestations, they have a slight gravity and wash.Little by little, pathology progresses, this is facilitated by changes related to age in the body, stress, injuries, etc.According to statistics, approximately 80% of the population of more than 60 years of osteoarthritis.
The osteoarthritis of the joint is developed for a long time, initially only affects the hyaline cartilage, then spreads to the bones, involves the synovial layer, the muscles and the entire joint capsule.In the first or early stage of osteoarthritis, the lesion manifests slightly: small pain after hard work, swelling, redness of the skin.Due to ignoring the uncomfortable sensations, the joint is deformed, inflamed, brings severe pain, its peak falls in the morning.The disease is characterized by the disappearance of pain after the development of the articulation.If not, a person loses the mobility of the joint completely.

There is a primary and secondary form of osteoarthritis.Pseudo-arthrosis (neo-arthrosis) is also distinguished, not many people know what it is, since it is formed less frequently than other varieties.Neoarthrosis is a false joint, so cartilage tissue increases in an unusual place where the damage was obtained.It is difficult to treat, mainly surgically.
There is a pathology due to regenerative function disorders, immunity or mechanical damage.Due to several causes of cartilage, it becomes thinner.Under normal conditions, cartilage tissue receives sufficient nutrition for recovery, but after excessive physical effort or due to a violation of metabolic processes, fabrics do not have time to regenerate.In the first stage, joint mobility remains.Having considered what osteoarthritis is as a definition, it is worth deepening in more detail in the development of pathology.
The mechanism of development of osteoarthritis, its types
Many varieties of osteoarthritis are developed according to a similar scheme:
- Primary lesion affects hyaline cartilage.In case of circulatory disorders, the deterioration of pathological power occurs.It is the first step or cause, which can occur osteoarthritis.
- Hyalin coating pathologies.The slimming of the cartilage leads to the replacement of its pathological tissues: bone structures.
- Anomalous growths appear in the cartilage - osteophytes.
- The violation of the natural anatomy of the cartilage and the bones causes the overload of healthy cartilage areas.The destruction of joint fabrics without treatment constantly progresses and leads to disability.
When the degree of disease increases, pathological processes are still aggravated.In the end, the entire Hyalin cartilage is destroyed.
The last degree of the disease leads to:
- Participation in the pathological process of bones, below and above cartilaginous surfaces;
- irritation of an articular cover, which limits mobility, which leads to a disability of 2 degrees;
- increase in capsule density;
- Reducing the gap in the joint gap, which becomes remarkable in the image.The rape stage is determined by the diagnosis-tantnologist.The patient feels the complexity or inability to straighten and fold the limb completely;
- Joint deformation, cartilage acquires an irregular form, provocative curvature;
- deterioration in the patient's condition with the complete destruction of the joint.
Stages of osteoarthritis
Joint disease has 3 stages of development:

- 1 grade.Morphological disorders have already begun, but they are not yet notable.The pathology mainly affects the condition of the synovial fluid, which worst supplies cartilage tissues with nutrient components, reducing cartilage resistance.The load in the joints causes inflammation and pain.
- Stage 2. Due to supply deficiency, the necessary cartridges are destroyed, bone growth is formed on the cartilage surface.The pains acquire a more pronounced character, intensified after a long break, are eliminated by a small physical work.The pain is accompanied by inflammation.The muscles stretch, which leads to weak or average motor functions.
- 3 degrees.There are often pain, it is difficult to move the limb due to changes in the joint.The lesions are extensive, they become notable to the naked appearance.The deformation of the joint site occurs, the affected area swells and becomes red.The axis of the limb is disturbed, which leads to the complexity of the movement.Pathological changes cause to shorten ligaments.Subuish and contractures appear.The adjacent muscles are shortened or stretched, of which the contractile function weakens.
Causes and risk factors for the development of osteoarthritis
The causes of the osteoarthritis of the joints differ depending on the form of pathology.Deforming arthrohrosis of the elbow joint, ankle joint and shoulder osteoarthritis sometimes develop without remarkable causes, it is possible to detect them with a doctor, a rheumatology specialist.If the problem was not preceded by visible pathologies, the disease is called primary.The secondary form of violation is mainly diagnosed, it can cause several states.
The main reasons for development:
- Mechanical damage: dislocations, fractures, stretching, meniscus injuries;
- Several endocrine disorders associated with malfunction in immunity work;
- Metabolism pathologies;
- dysplasia (congenital anomalies of joint tissues);
- suffered inflammation of the joints;
- Pathologies that lead to high joint mobility and ligament weakening.
Patients with osteoarthritis often found a disease due to predisposing factors:
- changes related to age;
- Light weight and increased BMI.The high load in the Board leads to a fast joint wear;
- lack of beneficial substances;
- Excessive load in the joints.Reason is intense training, sports, hard physical work;
- Difficult working conditions or an incorrect approach to sports.If there is a history of a genetic tendency to damage, joint injuries or similar diseases, it is important to adhere to a special training program, avoiding traumatic and difficult exercises;
- The postoperative period of recovery or complex operations transmitted associated with the splitting of a large part of the affected fabrics.These states negatively affect the softness and strength of the cartilage, the load must be minimized in them;
- Genetic tendency, osteoarthritis is more frequently diagnosed in patients who have relatives with the same pathology;
- The postmenopause stage occurs in women for approximately 50 years, is associated with changes in the endocrine system;
- the destructive effect of toxins;
- bad environmental situation in the residence region;
- Frequent damage to the articulation, sometimes micriects do not appear for a long time;
- hypothermia;
- Pathology of the lumbar and cervical part of the spine.
Primary osteoarthritis

Primary osteoarthritis is independent, that is, without the influence of any internal or external cause.The defeat develops through Hyalin's cartilage quite slowly.It is rarely diagnosed, represents only 3-5% of all cases.
Secondary osteoarthritis
Secondary osteoarthritis is more frequently detected by an order of 95-96% of cases.They are caused by any of the previous pathologies.
Signs and symptoms of osteoarthritis
The manifestations of the disease differ little depending on the location, the signs are more frequently reflected on the knees, shoulders and hip joints, due to high load.
Most complaints are reduced to:
- pain.They have low gravity in the initial stage, with aggravation of the sensation status intensifies.Initially, the joints hurt only after waking up, after a warm light, the sensations disappear.Over time, the pain appear at night, they disturb a lot during and after walking, running, etc.In the last stage, pain syndrome pursues a person all the time;
- Limited movements of movements.The stiffness of the actions indicates anatomical changes in the structure.At first it manifests in the morning, then the daily movements are limited.In order not to cause the aggravation of the condition, the work must be diverse and light, otherwise, the patient cannot unlock and squeeze the limb over time.Over time, there is a risk of contracting, from which a person loses motor capacity;
- Corona during movements: It belongs to the nonspecific manifestations of osteoarthritis.The disease is characterized by the appearance of crunch in a single articulation (except polyartersis), accompanied by limited discomfort, pain and actions.The nature of the current is similar to the wave: at the beginning it manifests weakly, gradually intensifies, but in 3 stages disappears;
- redness of redness.It is located near the sick joint, this indicates an inflammatory process and progression of the disease.The doctor understands that the synovial cover is affected, this causes the accumulation of fluid and increased pain;
limb deformations.It appears in a careless way of the disease, indicates the complete destruction of the cartilage tissue and the appearance of osteophytes.In this state, the pressure on the joints in the upper and lower part increases, from which the curvature can affect the entire limb.
It is important to remember that the deformation of the bones in the leg is often confused with corn.The symptom is not very dangerous only at first sight, but leads to serious consequences.
Complications
Initially, conservative therapy methods are used for treatment.If they are ineffective or the patient ignored the doctor's recommendations, there is a risk of consequences.
Possible complications:
- The articulation is completely destroyed;
- The limb is immobilized, any movement becomes extremely difficult;
- intervertebral hernias;
- disability;
- Strong deformation of the joint or the entire limb.
Diagnosis of osteoarthritis
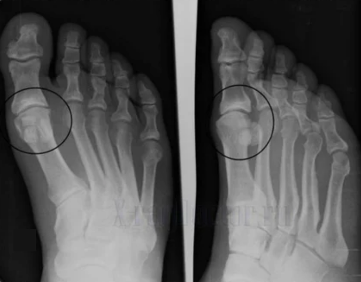
To make a diagnosis, rheumatologists study the patient's complaints and prescribe an X -Ray exam.Most of the time, the radiography is used in 2 projections.The doctor analyzes the presence of distribution disorders in the hyaline cartilage and bone joints.If the joint gap is reduced, the bones are delayed or flattened, there are cystic formations on the cartilage surface, osteophytes are obvious signs of osteoarthritis.During the inspection, osteoarthritis indicates the instability of the articulation: the axis of the limbs and the subluxation is altered.

Often, an X -ray image cannot give complete information about the condition of the joint.For a more thorough study, computerized tomography is prescribed, it is effective to examine the bones.Magnetic resonance is more frequently used to study soft tissues.
During the diagnosis, the participation of other specialists who will help to determine the root cause of the pathology is practiced.They often resort to the consultation of a hematologist, endocrinologist, gynecologist, orthopedic.
Modern treatment
There are hundreds of forms of osteoarthritis therapy, but all are reduced to a series of methods:
- Pharmacological treatmentThe main task is to combat symptoms and avoid a greater development of a violation.Most of the time, analgesics are used to relieve pain, non -steroidal anti -inflammatory medications to combat inflammation, hormonal drugs are prescribed for severe pain and acute inflammation.Each course is based on condoprotectors that protect the cartilage tissues from destruction, natural substances are used for manufacturing;
- physiotherapy.It improves the effectiveness of drugs, fights with inflammation, relieves symptoms, accelerates tissue regeneration.Ultrasonic, electric, magnetic, magnetic and laser therapy.This also includes mud baths, applications with natural materials, radon baths;
- Medical Physical Education.It is useful as much as a prevention and facilitating the condition.After the correct physical exercises, it is possible to completely eliminate pain.It is useful to visit the pool, participate in yoga and often walk;
- Manual therapy, massage will help the treatment of the disease, since they contribute to the prevention of the curvature of the joints.After the lesions, the manual therapist can level the joint, avoiding its fixation in the wrong position.After massage, muscle tone is improved, blood circulation accelerates;
- Adequate nutrition.A healthy diet will help enrich the body with nutritional nutrients and reduce body weight.A large mass increases the wear of the joints;
- Sanatorium resort treatment will strengthen the joints.Within the framework of healing, Balneotherapy Sanatorium, exercise therapy, physiotherapeutic procedures, etc.;
- Non -traditional therapy.For the treatment of osteoarthritis, huts, net medicine-, Afine and Herbal, as well as acupuncture and several popular recipes are used;
- Surgical intervention is the only way to return to the usual life in the third stage of the disease.Endoprothetics allows you to replace the patient's cartilage with the implant.The only drawback of the operation is the high cost.A procedure is sufficient for 15-20 years.
Preventive measures
So that the osteoarthritis of the joint is not bothering the old age, it is:
- Maintain a healthy lifestyle;
- Avoid strong loads;
- observe a diet;
- exclude bad habits;
- Perform gymnastics daily;
- Follow the weight.
Arthrosis is a dangerous disease that is much easier to prevent cure.With the timely search for a doctor and compliance with the treatment rules, the patient can maintain a family lifestyle for a long time.The lack of therapy and self -medication cause rapid aggravation of the disease and, ultimately, disability.























